こんにちは、ぷんたろうです。
インビザラインのマウスピース矯正を始めて90日が経過しましたので、途中経過をお伝えします。
広告
開始70日後
こちらは開始から70日後、7個目のマウスピースを装着し終えた時点での歯並びです。

前回の記事の最後、6個目ののマウスピース終了時の写真と比べると、写真中央右に写る下の傾いた前歯と写真中央の若干着色汚れのある歯との隙間がかなり小さくなった様に見えます。この傾いた歯を写真で言うところの左に寄せて、さらに隣の、歯列の内側に倒れている歯を起こすスペースを作っている最中ですね。
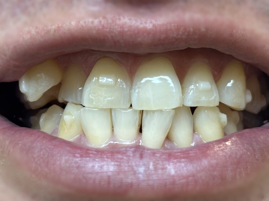
開始80日後
こちらは開始から80日後、8個目のマウスピースを装着し終えた時点での歯並びです。

写真を撮る角度だったり、歯の隙間に滞留した唾液だったりで、この写真よりも先ほどの写真の方が、下の歯の隙間が小さい様に見えていますが、こちらが紛れもなく8個目のマウスピース終了時の写真です。
この頃はあまり変化が見られず。強いて言えば、写真では分かりませんが、写真中の着色汚れのある下の前歯とその左の歯の隙間が小さくなりました。以前は指の爪が入ったのですが、この辺りから爪は入らなくなりつつありました。(だから食べ物が挟まると大変です)
開始90日後
こちらは開始から90日後、9個目のマウスピースを装着し終えた時点での歯並びです。もう3ヶ月が経ちました。早いなぁ。

いよいよ着色汚れのある下の前歯とその左の歯の隙間には爪が入らなくなりました。(入れようとすんな)
逆に言うとここに関しては食べ物も挟まりにくくなってきました。前歯が全体的に右(写真では左)に「ちょっとそこ詰めてーなお兄さん」ってな感じで右へ右へ詰めてきている感じです。やがて写真中央に写る下の前歯の大きな隙間も小さくなって、内側に傾いた歯が外にコンニチハしてきて綺麗に並んでくれることでしょう。
どうしても黄ばむマウスピース
ところでインビザラインを初めてから3ヶ月が経ったわけですが、実情をお話ししますと、どんなに気をつけていてもマウスピースは少しは黄ばみます。逆に言うと、これ以上は黄ばむことはないかなという気もします。
下の写真は10日間の装着を終えたマウスピース(手前2つ)と袋から出したばかりの新しいマウスピース(奥2つ)との比較です。新しいマウスピースは透明感があるのに対し。10日間の装着を終えたマウスピースはやや黄色くなっています。

僕自身が面倒くさがりで、マウスピースを装着したまま水以外の飲み物も割とそのまま飲んでしまうことが多いのと、職業柄急いで食事を摂って歯磨きをする間もなく軽く口を濯ぐだけですぐ作業に戻ったりすることも多々ありますので、着色してしまっている可能性も否めません。マジでちゃんと「飲み物を飲むときは外す、もしくは水だけ」とか「食事後は必ず歯磨きをする」というのを徹底すれば、着色は抑えられるのかもしれません。
が、逆に言うと僕みたいなズボラでもこの程度の着色で済んでいます。もちろん1日1回、中性洗剤を用いたマウスピースのブラッシングは行っていますけどね。
それにですね、言っても10日間ほどでマウスピースは新しいものに交換になりますし、そもそも人間、歯自体が黄色い(いくら白い人でもほんのり黄色い)ので、マウピースへの着色はそこまで気にするほどではないのかなと思います。
マウスピースがどのくらい黄ばむのか気になっている方の参考になればと思い黄ばみ具合を披露しました。
次回へ続く
マウスピース開始から日90経過後までの様子をお伝えしてきました。
最近は、歯に外力を加えておくと歯って動くんだな、なんだか不思議な骨だなと思いながら毎日歯並びをチェックしています。
次回もお楽しみに!
広告